目标检测_疟疾检测数据集_1000张图_+对应VOC/COCO/YOLO三种格式标签+多平台执行训练脚本

作品简介
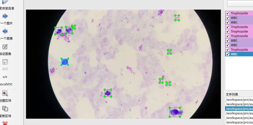
  • 数据集介绍:疟疾检测数据集,真实采集高质量图片数据,数据集通过将智能手机置于显微镜上方,通过显微镜目镜捕捉血片的视野 FOV 拍摄采集而来;
  • 适用实际项目应用:医疗疟疾检测项目,以及作为通用医疗检测数据集场景数据的补充;
  • 标注说明:采用 labelimg 标注软件进行标注,标注质量高,提供 VOC(xml)、COCO (json)、YOLO (txt) 三种常见目标检测数据集格式,可以直接用于如 YOLO 等的算法训练;
  • 附赠训练示例:提供 YOLO11 一键训练脚本,提供 GPU(GPUs)、CPU、Mac(M芯片) 多平台训练方案支持,提供博主训练结果日志供参考;

注意:由于数据集资源比较大,所以托管在我的百度网盘,所以这里的资源格式是 PDF,内附数据集基本情况介绍以及数据集获取方式!

创作时间: